矯正歯科
矯正歯科について

- 歯並びを整えたい
- かみ合わせをよくしたい
歯並びは見た目だけでなく、心身の健康にも影響します。いい歯並びはブラッシングをしやすく、むし歯や歯周病の予防ケアがとても楽になります。しっかり噛めると胃腸の負担を減らして十分に栄養を取ることもできます。
歯の表面につける「ブラケット」という器具にワイヤーを通して歯並びを整える「ワイヤー矯正」のほか、透明で目立たないマウスピースを使った治療法も導入しています。口元が美しくなることで、自分に自信がもてるようになることもあります。何歳からでも歯は矯正できるので、興味のある方はぜひお気軽にご相談ください。※自由診療です。
マウスピース矯正

痛みが少なく、目立ちにくい矯正治療
マウスピース矯正(インビザライン)は、透明で目立ちにくく、痛みが少ないため、ワイヤー矯正に比べ、より快適に矯正治療をすることができます。治療中は透明なマウスピースを装着し、マウスピースの形を少しずつ変えることによって、歯を正しい位置に動かしていきます。
矯正治療をして、歯並びをキレイにしたいけど、周りの人に治療を気付かれたくない人におすすめです。
症例写真
ワイヤー矯正の症例1
正面 治療前

正面 治療後

上顎 治療前

上顎 治療後

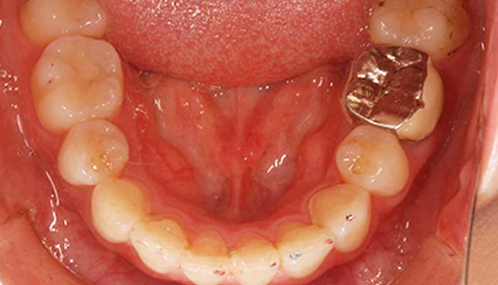
下顎 治療前

下顎 治療後

ブラッシングを丁寧に行っていても咬み合わせの影響で歯を抜かないといけない方を多く見てきました。矯正治療を行うことで歯を正しいポジションに移動し、見た目はもちろんのこと、歯の機能を最大限に活用することができます。矯正治療というと見た目を綺麗にするという認識が強いかと思われますが、1番の目的は歯をしっかり機能し、長持ちさせることです。歯を抜かないために矯正治療を考えてみてはいかがですか。
ワイヤー矯正の症例2
正面 治療前

正面 治療後

上顎 治療前

上顎 治療後

下顎 治療前

上顎 治療後

側面 治療前

側面 治療後

側面 治療前

側面 治療後

年齢・性別 | 20代・女性 |
---|---|
主訴 | 矯正治療希望 |
治療内容 | ワイヤー矯正 |
費用 | ワイヤー矯正 ¥770,000 |
期間 | 約2年 |
副作用・リスク | しみたり、違和感を感じたりすることがあります。 |
担当者所見 | 矯正治療を希望されて来院しました。顔貌、口元から比較すると、治療前は上顎前歯部が前方に出ていました。 上顎左右小臼歯の抜歯を行い、矯正治療にて上顎前歯部を内側に入れていき、治療後は上顎前歯部の被蓋関係も良好になりました。口元もきれいなスマイルになり、口唇も閉じやすい状況に変化しています。 |
ワイヤー矯正の症例3
上顎 治療前

上顎 治療後

全体 治療前

全体 治療後

治療前 レントゲン写真

治療後 レントゲン写真

右上4・5番 治療前レントゲン写真

年齢・性別 | 12歳・女性 |
---|---|
主訴 | 歯並びが気になる |
治療内容 | ワイヤー矯正 |
費用 | ワイヤー矯正 ¥420,000 |
期間 | 1年半 |
副作用・リスク | しみたり、違和感を感じたりすることが あります。 |
担当者所見 | 矯正治療を希望されて来院しました。 来院時は右上4番の真下に右上5番があり、 生えてくるスペースが全くない状態でした。 ワイヤー矯正治療にて、抜歯することなく 正常咬合に治療でき、右上5番も正常に生えてきました。 |