こんにちは、福岡県飯塚市の秋元歯科クリニックです‼️
11月も半分過ぎ、だいぶん寒くなってきましたね☃️みなさま、風邪などはひかれていませんか?
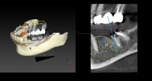
先週末は、大阪に月臨会総会に参加してきました。月臨会総会ではいくつかのスタディーグループが年1回、大阪に集まり、ケースプレゼンテーションを行う勉強会です。
そこで今年は発表の重役を背負い、大阪に行ってきました。
他の発表の先生方は、ほとんどが年上の先生で素晴らしい発表が多くとても勉強になりました‼️

自分もなんとか発表を終えることができ、コメンテーターの先生方や同じスタディーグループの先輩方にもご指導もいただき、次のステップへと頑張らないといけないなという気持ちを強く持てるいい機会になりました‼️
質の高い治療を目指し、頑張るだけです👍

中洲土三会の先輩方、ありがとうございました‼️
今年ももう少しですがいい治療ができるよう頑張っていきますので、よろしくお願いします💪
日付: 2019年11月19日 カテゴリ:インプラント, オールセラミック, ホワイトニング, ラミネートベニア, 勉強会, 歯周病, 矯正






















