こんにちは、お盆は大雨が続くそうで、皆様お気をつけください。
歯を失う原因として大きく分けると
①大きな虫歯
②重度の歯周病
③不正咬合
④医原性疾患
があります。
歯を失う原因として、『①大きな虫歯』と『②重度の歯周病』はみなさんもよくご存知かと思われます。
『③不正咬合』とは、噛み合わせが悪い方。
若いうちはいいのですが、年齢を重ねていくと、歯に負担が蓄積され、歯を抜かないといけなくなってしまうこともよくあります。
『④医原性疾患』とは歯科医師側の問題。適切な診断が行われず、処置に入ってしまい、余計に悪くなってしまうこと。実際に保険治療の限界もこの辺に絡んできます。
秋元歯科クリニックでは、なんで悪くなっているのか、原因は何なのか、ということをまずは探ることから診療がスタートします。今までの治療歴や、患者さん自身が何を求めているのか、可能なことと不可能なことをお伝えし、その中でのベストを患者さんにご提案します。
初めは資料どりと何回かお話を繰り返します。
患者さんの要望と歯科医師のゴールをできる限り擦り合わせることが重要だと考えています。
そしてそのゴールに向かって突き進むだけです。
患者さんと歯科医院が、同じゴールを見据えている治療、これを目指しています。
そして、今回は、虫歯リスクが高い患者さんで、『①大きな虫歯』と『④医原性疾患』『保険診療の限界』といった問題を抱えた患者さんの治療例をご提示いたします。

ご紹介で遠方からの患者さんでしたので、何回も通っていただきありがとうございました。
虫歯が多く、不適切な被せ物からの虫歯で、歯を抜かないといけないところが何本かありました。
他院で、入れ歯になるということで、当院に、インプラント治療希望で来院されました。
ただ、歯を失ったところにインプラント治療を行うだけでは、長期的予後が見込めないため、患者さんと相談し全顎的な咬合治療を行うことになりました。

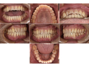
治療前 治療後



虫歯が歯肉縁下まであり、歯を矯正で引っ張ったり、歯周外科で歯肉を切ったりと、患者さんは大変だったと思います。
ただ、ある程度理想的な咬合に回復することができれば、長期的な予後は見込めると思います。
プラス自然な色調に回復できていると思います。
今後はご自身でのメインテナンスと歯科医院でのメインテナンスで、この状態をできる限り維持していければと思います。
明日から、お盆休みに入りますが、16日からまた頑張って行きますので、よろしくお願いします💪
飯塚の歯医者 | 医療法人悠慶会 秋元歯科クリニック
日付: 2021年8月12日 カテゴリ:インプラント, オールセラミック, ホワイトニング, 前歯部審美症例, 矯正